Il est important d’annoncer la visite chez le dentiste comme une opportunité pour votre enfant de s’occuper de sa santé bucco-dentaire de façon tout à fait normale et positive.
À la une
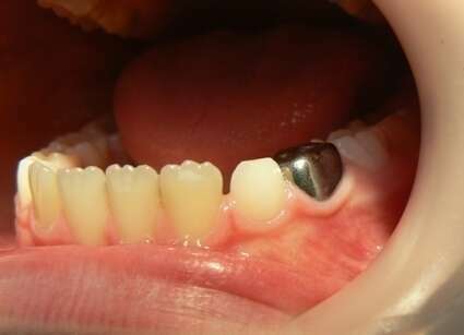
Elle trouve son indication dans les cas de délabrements ou d’anomalies de structure de la dent temporaire
C'est un mélange d'oxygène et de protoxyde d'azote (50/50) permettant une "sédation consciente" : cela améliore le confort physique et psychique de votre enfant qui sera ainsi plus détendu pour les soins dentaires.
3 articles
Découvrez notre collection de fiches et vidéos pédagogiques



